不安定

40 代 総 入れ歯 画像

ホワイトニング 40代女性 上尾市 北上尾の歯医者 歯科 インプラント 入れ歯なら沼尻歯科医院

患者様の声 マグネット義歯 函館市の歯科 なしき歯科医院

症例 治療例 東京池袋の入れ歯専門歯科医院

Q Tbn 3aand9gct84knx8hvuj7htn73wp2peojjj8i9qfkpupwi7bs1 Nnyfr0ay Usqp Cau

インプラント症例紹介 一之江駅前イルニード歯科 江戸川区 瑞江 船堀 小岩 葛西エリアでワンランク上の歯科治療

入れ歯 義歯は西宮市 甲東園駅近くの歯科医院 歯医者 ケイ歯科クリニックへ 入れ歯 義歯対応の西宮市の歯科医院 歯医者

今回は「40歳代で総入れ歯ってどうなんでしょうか? 」というものですが、やはりまだお若いですから見栄えが気になると思います。 Watch later.

40 代 総 入れ歯 画像. 40代の方はどのような入れ歯を使っているのでしょうか? 40代の方はどのような入れ歯を使っているのでしょうか? q.40代の方は、どのような入れ歯をつかっているのでしょうか? 私はまだ40代なのですが、奥歯が上下ともありません。今までどうしても入れ歯には抵抗があり、奥歯がない状態. これから総入れ歯になるまで、抜けた歯を放置して歯の数が減るのを待たなければいけないのでしょうか? 外出もかっこわるくて出来なくなりそうで恐いです。 早い内に、全部の歯を抜いて総入れ歯にするべき. 入れ歯を使う平均年齢は何歳くらい? 18年11月2日 50代女性の入れ歯の割合 17年7月11日 10代代の入れ歯で悩んでいる方へ 17年7月10日 意外と多い!30代40代50代の入れ歯事情 15年11月30日 入れ歯の長期保存方法.

入れ歯に関する豆知識とプチ情報「入れ歯 埼玉」「入れ歯 東京」「入れ歯 柔らかい」「入れ歯 痩せる」「入れ歯 抜ける」「40代 入れ歯 悩み」埼玉のくろさき歯科では入れ歯の専門歯科医師があなたにピッタリの入れ歯を制作します。. まだ40歳前なのに、総入れ歯と言われてしまいました(30代女性) 質問 代の頃、歯並びを治すために審美歯科に行き、全部の歯を削ってブリッジにしましたが、はずれたり虫歯になったりで、何度も付け直すうちに、もうだめだから総入れ歯だと言われて. 40代で歯が抜けてしまったとき、対応にお困りの方は多いのではないでしょうか? 今回の記事では、40代で入れ歯をご検討の方に向けて、入れ歯の見た目の部分を中心にご紹介します。 40代の人の入れ歯割合は? まずはじめに、40代でどれくらいの方が入れ歯を使用していらっしゃるかご存知.

50代で総入れ歯になる確率を調べてみました。 2~4%くらいだそうです。 100人に4人も総入れ歯? ちょっと多くない? だいたい2~4%の人は50代ですでに総入れ歯なのです。 50代で総入れ歯は早い?何歳から多くなる? 広告 総入れ歯だけは勘弁を!. 特別だと思いますが、主人の男友達は40代で総入れ歯の人がいましたよ。 さすがに驚きましたが。 部分入れ歯はしている人は、人には言わない. 50代以上で入れ歯 50代以上になられますと、入れ歯の対象になる患者さんはかなりいます。 歯そのものは50年以上保ってきているので問題ないのですが、歯周病が原因で歯を失っている方がほとんどです。歯のまわりのケアさえうまくされていたら、ずっと残っているはずの歯なので、もったい.

若い方の総入れ歯 東京都千代田区 稲葉歯科医院 総入れ歯専門サイト

50代 女性 総義歯 総入れ歯 治療 入れ歯 治療実績多数 上川歯科医院

少数の歯が残っている部分入れ歯 浜松市 部分入れ歯 総入れ歯 浜松市 歯科オペラデンタル

70代女性 上下総入れ歯 大阪市阿倍野区西田辺の歯科 いえさき歯科

ほとんど歯がない人の部分入れ歯 40代女性 入れ歯専門の歯科医院 東京池袋の萩原歯科医院

40代で総入れ歯にするメリットとデメリット 歯科医 諌山正典 マイベストプロ大分

重度歯周病 ひどい歯槽膿漏 治療例 重度歯周病 ひどい歯槽膿漏の治療室

入れ歯 義歯の治療内容 栄治歯科クリニック 横浜市神奈川区 東神奈川駅 Epark歯科

若くして入れ歯になってしまった方へ 神戸市にある木下歯科医院 神戸の精密入れ歯専門外来 木下歯科医院

入れ歯で治療した40代女性の患者様の声 埼玉県さいたま市の入れ歯なら福永歯科医院

重度歯周病 ひどい歯槽膿漏 治療例 重度歯周病 ひどい歯槽膿漏の治療室

金属のみえない自費の入れ歯を入れたい 30代女性 東京千代田区のドイツ式入れ歯専門 稲葉歯科医院

40代の入れ歯の割合と治療方法 こころ歯科大和クリニック 大和市柳橋 大和駅

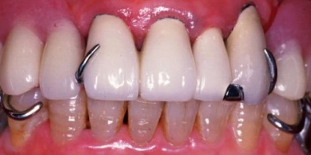
40代女性入れ歯のバネが目立って気になりノンクラスプデンチャーで審美性を回復した症例 相模原市西橋本の歯医者さん ナチュラルデンタルオフィス橋本

マグネット総入れ歯 フィンデンチャー 上領歯科医院

総入れ歯にするタイミングはいつ 歯の状態 年齢 判断の基準 インプラント広場

患者様の声 マグネット義歯 函館市の歯科 なしき歯科医院

パーシャルパラレルミリング義歯 小机歯科医院 横浜市港北区 マイクロスコープによる診療

総入れ歯とその他の治療法 エド日本橋歯科

ブログ 東京 埼玉入れ歯治療研究所 大山歯科医院監修 部分入れ歯や総入れ歯など

3

総入れ歯が既にインプラントをされた人にとっての対策方法 改善策 代替 他の選択肢というのが名医の選択 04 Gvbdo

インプラント症例 インプラントなら名古屋市のかすや歯科医院

若松様の体験記 東京銀座歯科

ほとんど歯がない人の部分入れ歯 40代女性 入れ歯専門の歯科医院 東京池袋の萩原歯科医院

ほとんど歯がない人の部分入れ歯 40代女性 入れ歯専門の歯科医院 東京池袋の萩原歯科医院

患者さんの声 埼玉県さいたま市浦和区与野 入江歯科医院

がん 糖尿病 心臓病 肺炎まで 死に至る病 を引き起こす 歯周病 の恐怖 週刊女性prime

症例集 福岡入れ歯専門研究所 博多プライベート歯科運営の福岡の精密入れ歯 義歯の相談所

総入れ歯 インプラント 全ての歯を失ったとき3つの治療法 ハイライフグループ

前歯6本 入れ歯の種類について教えてください 40代女性 東京千代田区のドイツ式入れ歯専門 稲葉歯科医院

入れ歯治療例 神戸精密入れ歯歯科室 オーダーメイド精密義歯 神戸市 東灘区 入れ歯専門 費用 総入れ歯 義歯

入れ歯になると見た目にすぐわかるものでしょうか 30代前半 女性 東京千代田区のドイツ式入れ歯専門 稲葉歯科医院

30代で総入れ歯という場合もあるのでしょうか 神奈川県茅ヶ崎 藤沢 平塚市の入れ歯なら岩田歯科医院へ

30代 40代にお勧めの入れ歯 ばれない よく噛める入れ歯 気になる費用も ウエストデンタルクリニック

マグネット総入れ歯 フィンデンチャー 上領歯科医院

目立たない入れ歯の症例 こうづま歯科医院 ローズ歯科医院

50代 女性 総義歯 総入れ歯 治療 入れ歯 治療実績多数 上川歯科医院

症例集 福岡入れ歯専門研究所 博多プライベート歯科運営の福岡の精密入れ歯 義歯の相談所

総入れ歯に適応する近道

15万円 若い人にも人気 の目立ちにくい入れ歯 義歯 本郷歯科クリニック さいたま市 東宮原駅近く の歯医者

30代 40代にお勧めの入れ歯 ばれない よく噛める入れ歯 気になる費用も ウエストデンタルクリニック

目立ちにくい入れ歯 スーパーデンチャー 小林歯科クリニック 大阪府 吹田市 豊中市 江坂駅

入れ歯 義歯 ミラクルデンチャー 仙台 河原町歯科医院

総入れ歯と部分入れ歯 口腔ケアチャンネル 041 Youtube

入れ歯になると見た目にすぐわかるものでしょうか 30代前半 女性 東京千代田区のドイツ式入れ歯専門 稲葉歯科医院

40歳代で 入れ歯になる方の共通した悩み 新潟市の歯医者 歯科 入れ歯 スポーツマウスガードなら りんご歯科医院

入れ歯つくるなら保険診療の入れ歯してから作り替えるのが Newsポストセブン

30代 インプラントと総入れ歯どちらがよいでしょうか 東京千代田区のドイツ式入れ歯専門 稲葉歯科医院

入れ歯 部分入歯の症例 事例 実例 入れ歯でお悩みの方へ入歯 義歯専用症例紹介サイト

若くして入れ歯 うつになる人も 入れ歯 悪い は完全に間違い 十分な咀嚼で全身健康

30代 40代 50代の人必読 将来総入れ歯にならないために歯医者に通って欲しい理由 デンタルコラム おくだ歯科医院 歯周病 インプラントセンター

総入れ歯 の検索結果 Yahoo ニュース

歯周病を治療せず歯が抜けるまで放置した40代女性が総入れ歯にもならず復活を果たした名医の治療とは 100 Gvbdo

症例集 福岡入れ歯専門研究所 博多プライベート歯科運営の福岡の精密入れ歯 義歯の相談所

40代の人におすすめの 目立たない入れ歯はありますか 神奈川県茅ヶ崎 藤沢 平塚市の入れ歯なら岩田歯科医院へ

若くして入れ歯になってしまった方へ 神戸市にある木下歯科医院 神戸の精密入れ歯専門外来 木下歯科医院

症例集 福岡入れ歯専門研究所 博多プライベート歯科運営の福岡の精密入れ歯 義歯の相談所

ひどい歯周病の治療例動画 40代女性 Youtube

症例紹介 精密義歯 入れ歯専門外来 歯周病専門外来 サンライズ歯科医院

30代で総入れ歯という場合もあるのでしょうか 神奈川県茅ヶ崎 藤沢 平塚市の入れ歯なら岩田歯科医院へ

30代 40代の若い方の入れ歯について 東京千代田区のドイツ式入れ歯専門 稲葉歯科医院

若い方の総入れ歯 東京都千代田区 稲葉歯科医院 総入れ歯専門サイト

患者様の声と治療実績 おくだ歯科医院 歯周病 インプラントセンター

入れ歯で治療した40代女性の患者様の声 埼玉県さいたま市の入れ歯なら福永歯科医院

歯医者のトラウマが強く 長い間歯医者へ行けませんでした 50代女性 イギリス在住 東京千代田区のドイツ式入れ歯専門 稲葉歯科医院

若い方の総入れ歯 東京都千代田区 稲葉歯科医院 総入れ歯専門サイト

インプラント症例11 重度歯周病で歯がぐらつき 食事もできなかった患者さま

目立たない入れ歯の症例 こうづま歯科医院 ローズ歯科医院

30代 40代の入れ歯 宮城 岩沼市 仙台市の入れ歯 義歯外来 佐藤歯科 矯正歯科醫院

患者様の声 小林歯科医院

若くして入れ歯になってしまった方へ 神戸市にある木下歯科医院 神戸の精密入れ歯専門外来 木下歯科医院

浜松市よく咬める入れ歯と歯周病治療 入れ歯でお悩みの方へ入歯 義歯専用症例紹介サイト

40代の人におすすめの 目立たない入れ歯はありますか 神奈川県茅ヶ崎 藤沢 平塚市の入れ歯なら岩田歯科医院へ

症例集 福岡入れ歯専門研究所 博多プライベート歯科運営の福岡の精密入れ歯 義歯の相談所

30代 40代で入れ歯になってしまう 原因と対応策 補綴学会認定専門医が監修する情報サイト 入れ歯ナビ

総入れ歯を覚悟した50代男性 O M様 患者様の声と治療実績 おくだ歯科医院 歯周病 インプラントセンター

40歳で 総入れ歯にしましょう と言われて 鬱病になりそうなあなたへ ドイツ式入れ歯とインプラントの専門医院 栃木県佐野市 目黒歯科医院 Tel 02 62 1125

Q Tbn 3aand9gctg Jddpaohrsnf6lpucphrx8ltlo 3pa Ilaejwyc17c9oy 0p Usqp Cau

インプラント以外の方法 実例集 神奈川県横浜市戸塚区の横浜歯友会内藤歯科

入れ歯でも口を健康に 歯の数少ないと高い介護リスク ヘルスup Nikkei Style

40代の人におすすめの 目立たない入れ歯はありますか 神奈川県茅ヶ崎 藤沢 平塚市の入れ歯なら岩田歯科医院へ

保険 自費入れ歯の費用と対象となる医療費控除の詳しい説明 ハイライフグループ

症例 治療例 東京池袋の入れ歯専門歯科医院

40台で総入れ歯

インプラント症例11 重度歯周病で歯がぐらつき 食事もできなかった患者さま

総入れ歯を覚悟した50代男性 O M様 患者様の声と治療実績 おくだ歯科医院 歯周病 インプラントセンター

30代 40代にお勧めの入れ歯 ばれない よく噛める入れ歯 気になる費用も ウエストデンタルクリニック

Q 女性向けの見た目のいい入れ歯はありますか 埼玉の入れ歯専門歯科 福永歯科医院

目立ちにくい入れ歯 スーパーデンチャー 小林歯科クリニック 大阪府 吹田市 豊中市 江坂駅

治療事例 我孫子の歯医者さん なかむら歯科

入れ歯 義歯は西宮市 甲東園駅近くの歯科医院 歯医者 ケイ歯科クリニックへ 入れ歯 義歯対応の西宮市の歯科医院 歯医者

40代で総入れ歯にするメリットとデメリット 歯科医 諌山正典 マイベストプロ大分

バネの見えない入れ歯 40代女性 ミラクルデンチャー 浜松市の歯科 オペラデンタルオフィス

目立たない入れ歯の症例 こうづま歯科医院 ローズ歯科医院

Q Tbn 3aand9gcrhc7hob7ind0kawh4appo Ooenzj R D2wxptcdlrgm 0lqc2q Usqp Cau

総義歯からインプラントへ 浜松市 歯周病 インプラント 浜松市 歯科オペラデンタル

バネの見えない入れ歯 40代女性 ミラクルデンチャー 浜松市の歯科 オペラデンタルオフィス